Home Der Arzt Forschung Bibliothek Lexikon Kontakt

Die hier Aufgeführten Bilder und Zeichnungen wurden bereits von Ärzten für Doktorarbeiten und Professuren genutzt, mit der Einwilligung des/ der Zeichner/s, Autor/en und Fotograf/en.

Lexikon:
Beschreibungen, Bilder, Definition, Fotos, Zeichnungen


A B C D E F G H I J K L M N O P Q R S T U V W X Y Z
A

adult

(lat.) =erwachsen, geschlechtsreif, (Gegenteil von juvenil)

Affekt

(lat.) =starke Gemütserregung, =Erregung, =Angetan sein, Erregung des Gefühls

Agnostiker

(griech.) =agnostos, =unbekannt, Unwissen, Unerkennbarkeit; leugnet die Metaphysik

Atresie

=Verschluss

Ammoniak

Ammoniak ensteht im menschlichen Körper beim Abbau von Proteinen in den Zellen und im Darm. Der Grenzwert für Ammoniak bei Frauen liegt bei 82 µg/dl und bei Männern bei 94 µg/dl.

Amnionhöhle

(siehe Abb. im Text). Ist ein gefäßloser Raum im befruchteten Ei, der den Beginn der Nidation anzeigt. Dieser Raum wird auch Fruchthülle, Fruchtblase genannt. Er ist von einer einschichtigen Zellschicht tapetenförmig ausgekleidet. Diese Zellen produzieren bereits das sog. Fruchtwasser, also Flüssigkeit in der Amnionhöhle.

Anastomose

(griech.), Verbindung zwischen 2 Strukturen, meistens mit Hohlräumen, z. B. zwischen 2 Gefäßen, oder 2 Nerven.

Aneurzysma

(griech.) =sackartige Erweiterung einer Schlagader, =Erweiterung

Aphasie

(griech.) = Sprachstörung. In der Medizin wird zwischen eine Broca- Aphasie und einer Wernicke-Aphasie unterschieden (siehe dort).

Apoptose

=programmierter Zelltod. Er wird sowohl von außen als auch von innen ausgelöst, ist oft genetisch vorprogrammiert. Eine zu stark ausgelöste Apoptose führt zur Zerstörung gesunder Zellen. Eine schwach ausgelöste Apoptose hinterlässt Zell-Reste, die sogar noch wachsen und sich vermehren können. Es wird vermutet, dass die Alzheimerkrankheit sowohl Folge einer zu-starken, als auch zu schwachen Apoptose sein kann.

Arteria pulmonalis

= Arterie, die sauerstoffarmes Blut aus der rechten Herzkammer = dem Ventrikel, in die Lunge führt. Wenn sich die embryonalen Umgehungskreisläufe des Ductus Botalli und des Truncus arteriosus (siehe dort) schließen, wird das sauerstoffarme Blut in die Lunge gepumpt.

Asthenie

(griech.) =zart, (schlank gebauter, Mensch)

Atheist

(griech.) =atheos, =ohne Gott, =Gottesleugner, streitet die Existenz eines Gottes ab.

B

Blastem

(griech.: blastos = Spross, Keim = die frühe embryonale und undifferenzierte Organanlage. Diese Zellanlage erscheint meistens als Netz- oder Plattenform. Sie entwickelt sich im Lauf der Embryogenese durch Proliferation (siehe dort), Differenzierung der Zellen und ihren morphogenetischen Bewegungen der Zellen zu speziellen Geweben und Organen weiter.

Blastocyste

Eine befruchtete Eizelle entwickelt sich zu einem bläschenartigen Gebilde, das man in der Medizin Blastocyste oder Blastula nennt. Es ist eine embryonale Kugel,(siehe Abb.) mit teiweise zelligen Strukturen und teilweise flüssigkeitsgefüllten Hohlräumen = Cysten. Das Wort setzt sich aus zwei Teilen zusammen: 1.) Blastem (siehe dort) und 2.) Cyste.

Broca-Aphasie

Gestört ist die Sprachproduktion. Man nennt sie in der Medizin oft die motorische = verbale = expressive = Broca-Aphasie. Gestört ist die Sprachproduktion bei oft erhaltenem Sprachverständnis. Gestört ist die Fähigkeit, Worte = Sprache auszudrücken. Solche Patienten haben Schwierigkeiten die richtigen Worte zu finden, sinnvolle Sätze zu bilden, einen Sprachaufbau zu gewährleisten. Die Broca-Region bewirkt die motorische Planung der Sprache. Sie erhält Informationen und Impulse über den sog. Fasciculus arcuatus von der Wernicke-Region. Der Fasciculuc arcuatus (siehe Abb). ist eine Leitungsbahn von der Wenicke-Region zur Broca-Region und zum Großhirn.

Bulbus cordis

ist eine embryonale Form am Herzen, die sich im oberen Teil der Herzschleife (siehe dort) bildet.Bulbus ist in der Medizin immer Ausdruck für eine Aufweitung eines Hohlraumes. Der Bulbus cordis ist eine solche Aufweitung eines blutführenden Hohlraumes = eines Gefäßes am Herzen (=dem cordis) in der Region der Eintrittsbahn ins Herz (siehe Abb).

C

Choledochus

Ist die Kurzform von Ductus choledochus. Choledochus (lat.) heißt ins Deutsche übersetzt: Galle aufnehmend. Das Wort soll ausdrücken, dass es sich um eine Struktur handelt, die Galle aufnehmen kann, also einen Hohlraum haben muss. Und dieser Hohlraum ist ein Ductus =ein Gang. Deshalb nennt man den Gallengang Ductus Choledochus.

Corona radiata

= die äußere Zellschicht der Eizelle nach der Ovulation, (siehe Abb.).

Corpus luteum

(lat.), = der Gelbkörper (siehe Abb.), wird von den sog. Granulosa- und Thecazellen (siehe Abb.) des Ei-Follikels aufgebaut. Als Follikel bezeichnet man ein epithelausgekleidetes Bläschen, das Ernährungsflüssigkeit für das reifende Ei = den Embryo enthält. Die Granulosa- und Theca-Zellschicht ist meistens vielschichtig. In der Flüssigkeit des Ei-Follikels können bereits Geschlechtshormone nachgewiesen werden.

D

Decidua

Hormonell umgewandelte Schleimhaut des Uterus nach der Befruchtung einer Eizelle. Die Zellen des Uterus werden höher. Man nennt sie dann Decidualzellen, die sich drüsig umwandeln. Decidua ist nur ein Sammelbegriff, denn man unterscheidet verschiedene Formen von Decidualzellen, je nach ihrer morphologischen Veränderung, z. B. die Decidua gravidatis, die Decidua spongiosa (wenn sie schwammig wird), die Decidua gravidarum, die Decidua endometrialis etc. Die Bezeichnungen wechseln ihren Namen je nach der Art der hormonellen Veränderung der Uterusschleimhaut. Die medizinische Literatur nennt Dezidua auch die Gebärmutterschleimhaut, die Pars functionalis, das Endometrium.

dislozierte Fraktur

Verschiebung, Verdrehung von einzelnen Organen, Organteilen oder Implantaten (in diesem Fall hilft nur eine operative Reposition der Fragmente)

Doppler Sonogramm

Die Doppler-Sonographie zeigt neben den Organstrukturen auch die Richtung des Blutflusses in den Gefäßen des zu untersuchenden Organs an. Damit bekommt der untersuchende Arzt zugleich auch Informationen über die Durchblutungsverhältnisse der Organe, z.B. der Niere, des Gehirns, des Halses. Die Doppler-Sonografie nützt den physikalischen Dopplereffekt: Der Doppler-Effekt ist die zeitliche Stauchung und Dehnung eines Signals, wenn sich der Abstand zwischen dem Sender und Empfänger während der Aussendung des Signals verändert (=sich der Blutstrom weg, oder her fließt). Dieses Signal kann auch akustisch hörbar gemacht werden.

dorsal

lat. dorsum "Rücken", rückseitig, am Rücken gelegen.

Ductus Botalli

Ein Ductus Botalli ist für das ungeborene Kind ein Vorteil, weil das Blut aus dem rechten Ventrikel des Herzens nicht durch ein Gefäß in die Lunge gepumpt werden muss, sondern über ein Kurzschlußgefäß, sofort unter Umgehung des Lungenkreislaufs in die Aorta fließen kann.

Duodenum

= Zwölffingerdarm = Darmabschnitt zwischen Magenausgang und dem (eigentlichen) Dünndarm = dem Jejunum.In diesen darmabschnitt mündet der Magen, die Bauchspeicheldrüse und der extrahepatische Gallengang, meistens auf einer Papille genannten Formation.

E

Ektodermale Zellen

bilden die Epidermis = die Haut, die Hautdrüsen, die Haare, die Nägel und die epithelealen Auskleidungen der Organe, z.B. des Vorder- und des Enddarms, das Epithel der Epiphyse, der Hypophyse, des Nerven-Systems, des Nebennierenmarks, der Zähne.

Embryo

(griech) = Das werdende Kind wird nach der Befruchtung der Eizelle bis zur 8. Schwangerschaftswoche „Embryo“, danach Fetus genannt.

Embryologie

(griech.) = Lehre von der Entwicklung eines Kindes im Uterus einer Mutter.

Endocard

= Bezeichnung für die Herzinnenhaut, die Hohlräume des Herzens tapetenartig auskleidet.

Entwicklungsstadien

Die befruchtete Eizelle wird zunächst Blastocyste (siehe dort), danach Embryo und schließlich Fetus genannt.

Endodermale Zellen

bilden Auskleidungen von gastrointestinalen und anderen Organen, wie z. B. des Atemtrakts, der Harnblase, der Tonsillen, der Schilddrüse, der Nebenschilddrüsen, des Thymus, der Leber, der Bauchspeicheldrüse.

Epicard

= ist die Herzaußenhaut in der auch die Coronargefäße verlaufen.

epikritisch

(griech.) =abschließend

Extendit-Hepatoporto-Jejunostomie

(siehe Operationsverfahren (Abb. 7b) nach Paul Schweizer)

Extrahepatischen Gallengangatresie (=EHGA)

Es ist ein extrahepatischer Gang. Wenn er angeboren verschlossen ist, dann spricht man von einer Extrahepatischen Gallengangatresie. (Atresie heißt: =Verschluss). Abk. EHGA =Extrahepatische Gallengangsatresie.
F

Fetus

(lat.). Vom dritten Monat an wird das werdende Kind in der Regel Fetus genannt. Diese Zeit entspricht (ungefähr) der 9. Woche nach der Befruchtung der Eizelle.

Überschrift

Text…

G

Galle

=Bile, =eine Flüssigkeit aus den Leberzellen, die über ein Gallengangsystem in die Gallenblase abgeleitet wird. Von der Gallenblase wird die Galle aktiv über einen außerhalb der Leber verlaufenden Gang, der extrahepatischer Gallengang genannt wird, in den Zwölffingerdarm ausgeschieden. Galle ist ein Sekret = eine Absonderung einer Flüssigkeit aus einer Drüse = aus Organzellen, die Elektrolyte, Mucine und Gallensäure enthält. Sie ist an der Fettverdauung, beteiligt, aktiviert Enzyme der Bauchspeicheldrüse und des Darmes.

Gallengang

Ductus hepaticus, oder Ductus choledochus ist der äußere=außerhalb der Leber verlaufende Gallengang.
=Ductus choledochus, gemeint ist der Gallengang zwischen der Leberpforte und dem Zwölffingerdarm. Es ist also ein extrahepatischer Gang. Wenn er angeboren verschlossen ist, dann spricht man von einer Extrahepatischen Gallengangatresie. (Atresie heißt: =Verschluss). Abk. EHGA =Extrahepatische Gallengangsatresie.

Gallengangs-Atresie

Das Wort setzt sich zusammen aus den beiden Worten Gallengang und Atresie. Die Ursache der Atresie = des pathologisch angeborenen Verschlusses ist noch nicht entgültig geklärt. Diskutiert werden: Ein angeborener Verschluss als Folge einer ungenügenden entwicklten Anlage des Ganges, der überschüssige mesenchymale=bindegewebige Aufbau der Wand des Gallenganges, entzündliche Genesen, die ungenügend embryonale Kanalisierung, oder Re-Kanalisierung des soliden Ganges.

Gallenblase

=Vesicula fellea. Ist ein Speicher (=ein Säckchen) für die Galle aus der Leber. Sie ist über den Ductus cysticus mit der Leberpforte verbunden. Von ihr wird die Galle aktiv nach Gebrauch durch den Ductus cysticus und den Dutus choledochus in den Zwölffingerdarm ausgeschieden.

Gallengängchen

Intrahepatische Gallengängchen gehen von der Einheit eines Leberläppchens, das aus Zellen aufgebaut ist, aus. Sie verlaufen gegenläufig zu den Zweigen der Pfortader. Diese intrahepatischen Gallengängchen transportieren die Galle aus den Leberläppchen bis zur Leberpforte, wo sie in den Ductus cysticus und danach in die Gallenblase münden.

Aufgabe: Ist der Galletransport von den Leberläppchen bis zu Gallenblase.

Aufbau/ Skizze
1. rosa: Leberpforte
2. grün: Gallengängchen mit Lumen von 20-120µ
3. pink: Leber
4. grün: Gallengängchen
5. blau: Pfortader/ Pfortaderäste
6. gelb: Bindegewebe zwischen Gallengängchen und Pfortaderast (die Gallengangswand wird durch das Bindegewebe(=gelb) fest an die Wand der Pfortader (=blau) fixiert, ist schwierig von einander zu trennen!)
7. rot: Präperationslinie


Leber, Gallengängchen, Leberpforte


Gehirn

Wer in der Fachliteratur nach Definitionen des Wortes Gehirn sucht, wird enttäuscht werden, denn Gehirn wird unterschiedlich definiert. Im vorliegenden Text soll mit einfachen Worten zur Nomenklatur Stellung genommen werden. Man unterscheidet: (1.) den „Frontallappen“, der manchmal auch „Präformale Rinde“ genannt wird. (2.) Beschrieben wird auch ein „Scheitellappen“, (3.) ein „Schläfenlappen“, (4.) ein Hinterhauptslappen“. Innerhalb dieser Lappen werden „Regionen“ genannt, beispielsweise eine „Broca-Region“, eine Wernicke-Region“ eine „Fronto-basale- Region“. Darüber hinaus werden Areale genannt, beispielsweise das „Kleinhirn“, das „Hinterhaupt,“ ein „Motorisches Centrum,“ „der Poms“ und die „Medulla obllongatas, die auch „Verlängertes Mark“ genannt wird. Eine andere, oft erwähnte Struktur ist der „Fasciculus arcuatus, der bei der Beschreibung von Sprachstörungen oft genannt wird. (Eine Übersicht bietet die Abb. xx mit ihrer Nomenklatur).

Schematischer Darstellung und Bezeichnungen:

Ort der Brocka`schen und der Wernicke´schen Region im Gehirn: (gelb gefärgt: Hirnwindung), (blau gefärbt: Tief liegende Hirnwindungen, oder Hirngewebe anderer Struktur). Das Zwischenhirn und das Mittelhirn, sowie der Balken und die Hypophyse liegen im Vergleich zu den gelb gefärbten Hirnwindungen tiefer und sind daher verdeckt.
(Die Zeichnung wurde im Präparierkurs von Schweizer als Student im 3. Semester angefertigt).

1. Motorische Rinde
2. Großhirn
3. Frontallappen
4. Präfrontale Rinde
5. Broca-Region
6. Wernicke-Region
7. Kleinhirn


H

Hepatocelluläres Carcinom (=HCC)

Auf deutsch Leberzellkarzinom ist eine Krebserkrankung, die den Ursprung aus der Leberzelle enfaltet

Hepato-Porto-Jejunostomie

ist ein Operationsverfahren zur Verbindung der Leberpforte mit einer Schlinge aus dem jejunalen Dünndarm, um bei fehlendem Gallengang oder verschlossenem Gang Galle aus der Leber in den Darm abzuleiten, (siehe Operations-Verfahren).

Herzblastem

(griech.) blastos = Spross, = Keim = die frühe, embryonale, noch undifferenzierte Organanlage. Diese Zellanlage erscheint meistens in Netz- oder Plattenform. Sie entwickelt sich dann zum Blastem (siehe dort) weiter, macht Proliferation und Differenzierung und sog. morphphogenetische Bewegungen der Zellen durch.

Herzschlauch

Der Herzschlauch ist eine embryonale Form des Herzens, ein Schlauch mit einer Wand und einem Lumen (siehe Abb.) vom 28. Tag an beginnt dieser Herzschlauch des Embryos mit Kontraktionen, zeigt also Leben.

Herzschleife

Der Herzschlauch entwickelt sich durch eine Schleifenbildung (siehe Abb.) zur Herzschleife. Sie entsteht durch Wachstum und somit durch Verlängerung des Herz-Schlauches im engen Herzbeutel. Die Schleifenbildung und -faltung gestattet das Wachstum. Dieser Vorgang spielt sich in der vierten Entwicklungswoche nach der Eibefruchtung ab. Dabei verlagert sich die Einflussbahn (siehe Abb.) nach dorsal und hinten, nähert sich dort der oben liegenden Ausflussbahn (siehe Abb.).

histologische Präparate

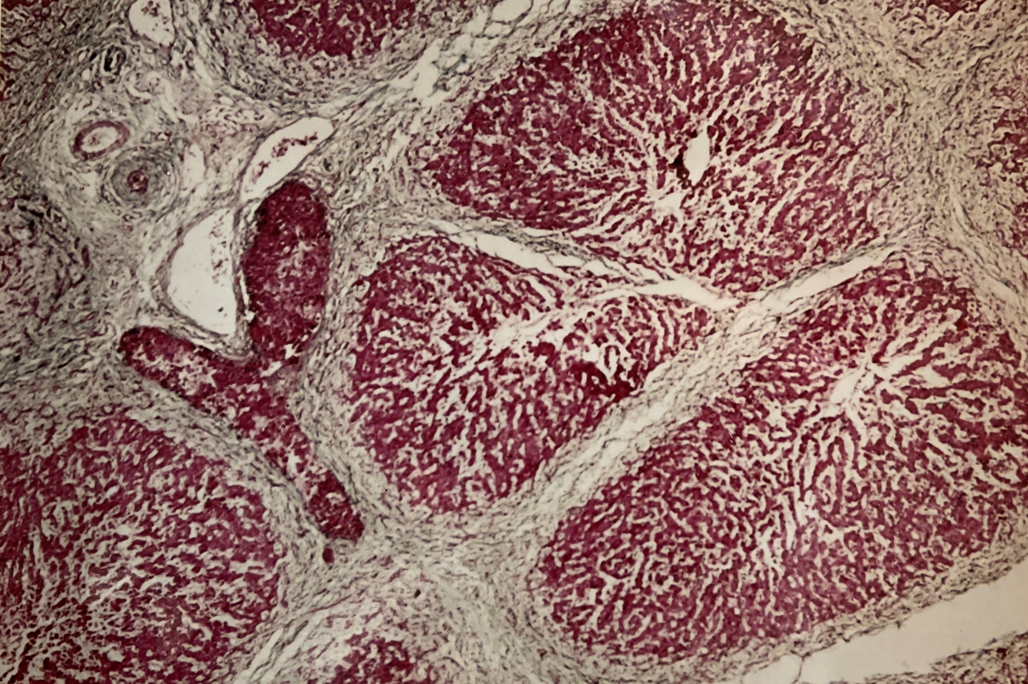
Beide Präparate (Abb. 3a/ 3b) wurden von Schweizer selbst im Labor des Kinderkrankenhaus auf der Bult in Hannover angefertigt, jedoch vom Pathologen Prof. Müller in Chur/ch ausgewertet und beschrieben. Sie zeigen spärliche intrahepatische Gallengängchen in den bindegewebigen Wänden der Leberläppchen.

(Abb. 3a/ 3b)
Diese, histologische darstellbaren Gallengänchen eines Patienten mit einer Extra-Hepatischen Gallengangsatresie wurden in einer Publikation von Paul Schweizer, jedoch auch in der Doktorarbeit von Michael Schweizer veröffentlicht. Der Patient ist heute 49 Jahre alt.

Überschrift

Text ...

I

Ikterus

(griech.) =Gelbsucht aus verschiedenen Ursachen.

intuitiv

(lat.). = auf Intuition beruhend.

Intuition

(lat.). = unmittelbares Erkennen = Erfassen von Vorgängen und Zusammenhängen ohne aktives Denken, ohne wissenschaftliche Prüfung der Zusammenhänge. Es ist eine (bloße Schau, oder Eingebung) von Wissen. In der Chirurgie ist intuitives Handeln die Folge von reichlich Erfahrung, von Wissen als Folge von gründlich Gelerntem, das ohne wissenschaftliches Überlegen präsent ist und handlungsfähig macht. Ohne im Gehirn gespeichertes Wissen, ohne im Gehirn gespeicherte Erfahrungen, ohne die gelernte Fähigkeit des Gehirns, Kombinationen des Wissens und der Erfahrungen selbständig durchführen zu können, gibt es keine Intuition.

irreparabel

(lat.). = nicht mehr heilbar, nicht mehr wiederherstellbar.

J

juvenil

(lat.) =jung, (Gegensatz zu adult=alt)

K

kategorisch

(griech.) =eine bestimmte Sorte, =eine bestimmte Art, Rang, =ein bestimmtes Sein, ein bestimmter Begriff, eine bestimmte Aussage/ Meinung

Keimblätter

= eine beginnende Entwicklung von Blastemzellen für Blasteme (siehe dort). Diese Keimblätter machen dann eine embryonale Entwicklungsveränderung durch. So entstehen verschiedene Zellen, die sich dann differenzieren und in zunehmendem Maße charakteristische Formen und Eigenschaften entwickeln. Schließlich werden vorwiegend drei Keimblätter unterschieden, die jeweils verschiedene Gewebe und Organe entwickeln. Man unterscheidet dann drei Keimblätter: a.) Das Entoderm als inneres Keimblatt, b.) das Mesoderm als mittleres Keimblatt und c.) das Ektoderm als äußeres Keimblatt. Zu a.) Endodermale Zellen entwickeln sich vorwiegend zu epithelealen Auskleidungen von gastrointestinalen Organen wie den Atemtrakt, die Harnblase, Drüsen wie die Tonsillen, Nägel, epitheliale Auskleidungen von Organen wie Vorder- und Enddarm, das Epithel der Epiphyse, der Hypophyse, des Nervensystems, des Nebennierenmarks, der Zähne.

Klatskin-Tumor

ist ein sehr maligner Tumor, der im Konfluenz des rechten und linken hepatischen Astes der Pfortader entsteht. Diese Stelle ist zugleich der Zwickel, wo sich die intrahepatischen Gallengänge von links und rechts treffen, um gemeinsam den Ductus choledochus (=den extrahepatischen Gallengang zu bilden). Der Tumor ist nach dem amerikanischen Hepatologen der Yale University benannt, der 1910 geboren und 1986 gestorben ist. Histologisch entsteht der Tumor wahrscheinlich aus Zellen der Gallengänge, nicht des Leberparenchyms.

Konfluenz der Pfortader

Konfluenz heißt Zusammenfluss. confluere = zusammenfließen. Für die Anatomie der Pfortader meint Konfluenz die Stelle, wo sich der Stamm der Pfortader in einen rechten und einen linken Ast aufteilt.

Koma

(griech.) =ohne Bewußtsein

Konstellation

(lat.) con=mit, stella=Stern, =gegenseitige Stellung von Gestirnen, =die Art und Stellung der einzelnen Faktoren innerhalb einem Ganzen, =das Zusammentreffen von Umständen.

L

Laparotomie

Chirurgische Eröffnung der Bauchhölhe für operative Zwecke. (verb:)laparotomieren

Leber

Schematische Darstellung des Verlaufs und der Beziehung von Gallengängchen, Pfortaderast, Leberatrerie und Bindegewebe der Leber:

Verlauf der Gallengängchen (grün gefärbt und umringt): Sie verlaufen normalerweise parallel mit dem rechten und linken Pfortaderast in der Leber und verlassen sie zusammen mit den Pfortaderästen. (A. hepatica: rot angefärbt, Pfortader: schwarz angefärbt, Gallengängchen: grün angefärbt, Bindegewebe: gelb angefärbt). Die Reste intrahepatischer Gallengängchen sind bei einer Extrahepatischen Gallengangsatresie in der Region des Konfluenz der Pfortader in der Leberpforte besonders stark durch Bindegewebe mit der Wand der Pfortaderäste (=Wand zu Wand-Fixation verbunden). (Ergebnis von 24 Kindern mit EHGA). Diese Wand zu Wand-Fixation macht die operative Lösung der Gallengängchen vom Pfortaderast riskant(risky). Die Präperation gelingt nur mikrochirurgisch.

1. Leber
2. Gallengängchen (grün)
3. Bindegewebeschicht (gelb)
4. V. portale
5. A. hepatica
6. Vene hepatica
7. Hohlvene



Leberbiopsie/ Leberpunktion

Um eine Lebererkrankung in den 1970 Jahren nachweisen zu können bedurfte es einer Leberbiopsie(Leberpunktion). Bei der Leberpunktion wird mit einer dünnen Hohlnadel von außen durch die Bauchdecke direkt in die Leber gestoßen, um eine Gewebeprobe zu entnehmen.

Leberläppchen

Das Leberläppchen ist die Grundeinheit der Leber =der Baustein des Organs der Leber. Es ist aus zahlreichen Leberzellen =den Hepatocyten in verschiedenen Formen mit verschiedenen Aufgaben aufgebaut. Jedes Leberläppchen wird (1.) von einem Gallengängchen =dem Ductus interlobaris, (2.) von einer Vena interlobaris =einem Ast der Vena hepatica, (3.) einer Arteria centralis, (4.) einer Vena interlobaris aus der Pfortader, sowie (5.) von arterio-venösen Anastomosen =Gefäßverbindungen und Sinusoiden =Gefäßerweiterungen aufgebaut.

In den Hepatocyten laufen Stoffwechselreaktionen ab, die Gefäßstrukturen sind Zu- und Abführwege fürs Blut. Jedes Leberläppchen wird von einem Ast der Pfortader duchströmt, die Moleküle aus den Därmen, dem Magen, der Milz, der Bauchspeicheldrüse ect.. zur Verarbeitung in die Leber bringt.

Leber-Segmente

Die Leber wird in 8-Segmenten unteilt: (I), II, III, IVa und IVb, V, VI, VII, und VIII;

Für das Überleben sollten 2 Leber-Segmente tumorfrei sein.

Lebertamponade

Blutstillung bei Leberruptur mit angewärmten, feuchten Tüchern (Die ruptierte Leber wird mit diesen Tüchern gegen das Zwerchfell gedrückt, sodass blutende Gefäße, zugedrückt werden.)

leptosom

(griech.) =schmalwüchsig, =schlank

Ligamentum falciforme

ist eine Bauchfell-Duplikatur zwischen der Vorderwand der Leber und der Rückwand des Bauches. Diese, auch Diaphragma = Scheidewand genannte Trennwand, trennt den rechten und den linken Leberlappen und geht oben = proximal ins Zwerchfell über.

Leber-Tumor

Wird Leberkrebs sehr früh entdeckt, so besteht eine Chance auf Heilung. Im fortgeschrittenem Stadium oder bei einer sehr schlechten Leberfunktion ist Leberkrebs nicht mehr heilbar.

M

Mesodermale Zellen

(werden hier auch genannt): Sie entwickeln sich vorwiegend zu Mesenchym = zu Bindegewebe, das in der embryonalen Phase noch sehr locker ist.

Misere

(lat.) =Not, =Elend, =erbärmlich

Morula

= die befruchtete Eizelle im 2- 5 -Zellenstadium (siehe Abb.).

Mucine

sind von Drüsen produzierte Schleimstoffe

Mutation

(griech.). Plötzliche oder quantitativ auftretende Änderung der Struktur und Wirkung eines, oder mehrerer Erbfaktoren. Das veränderte Gen ist über die Teilung des Zellkerns unter Wahrung der Chromosomenzahl vererbbar.

Myocard

ist die muskuläre Gewebeschicht des Herzens, die zwischen dem Endocard (=der Herzinnenhaut) und dem Epicard (=der Herzaußenhaut) liegt. Myocard ist die aktive Herzmuskulatur.

N

Nabelvenenkatheter

Bei Neugeborenen ist die Suche nach einer geeigneten Vene oft schwierig oder sogar frustran. In einer Reanimationssituation wird dann die Nabelvene katheterisiert, um das Leben des Kindes zu retten. Nicht selten kommt es dabei zu Entzündungen und Thrombosen der Nabelvene und der Pfortader in der Leber. Folge ist dann oft ein Blutstau in die Venen der Speiseröhre, der zu Varizen in der Speiseröhre führt, die platzen und gefährlich bluten können. Man spricht dann vom Krankheitsbild der Ösophagusvarizenblutung, die eine Operation fordert, wenn die Varizen nicht endoskopisch wirksam verödet werden können.

Neuroblastom

ist der häufigste solide Tumor im Kindesalter. Er besteht aus unreif gebliebenen, sympathogenen Nervenzellen, den Neuroblasten des N. sympathicus. (Der Nervus sympathicus bildet das Nervensystem im Körper), das für körperliche und geistige Leistungen zuständig ist, z. B. für die Steigerung oder Drosselung des Herzens und der Atmung. Die sympathischen Nervenzellen = Neuroblasten befinden sich im Rückenmark, im Gehirn, im Nebennierenmark und in peripheren sympathischen Nervenbahnen auf dem Weg zu ihren Zielorganen. Dieses sog. sympathische Nervensystem bewirkt im Körper sog. Fight-and-Flight-Reaktionen, wirkt also aktivierend. Neuroblasten, die unreif bleiben, können schon im frühen Kindesalter, vielleicht sogar im vorgeburtlichen Alter, Tumore bilden. Besonders betroffen sind embryonale Neuroblasten im Gehirn, im Nebennierenmark, im Rückenmark, in der Brust- und Lendenwirbelsäule.

O

OA

OA ist die Abkürzung von Oberarzt

Ösophagus-Varizenblutung

Im Kindesalter ist die weitaus häufigste Ursache für eine Ösophagus-varizen-Blutung ein Nabelvenenkatheter, der bei der Reanimation eines Neugeborenen angelegt werden musste. Wenn die Ösophagus-Varizen endoskopisch nicht wirksam verödet werden können, dann muss eine riskante, den Pfortaderkreislauf verändernde Gefäßoperation durchgeführt werden siehe: Spleno-reanaler-Shunt.

Overholt

Der Overholt ist eine leicht gebogene Präperationsklemme mit spitz zu laufenden Enden jedoch abgerundet, diese gibt es in verschiedenen Größen ohne und mit Bezahnung ein unersetzliches chirurgisches Instrument.

Operations-Verfahren Morio Kasai



(Abb. 7a nach Morio Kasai)

Die vom japanischen Chirurgen Morio Kasai (geb. 1922 - ges. 2008) inauguriere Hepatoporto-Jejunostomie bei Extra-Hepatischen Gallengangsatresie (zum Ersten Mal 1959 in Japan und USA erwähnt) erfasst die lateral mit den Pfortaderästen verlaufenden Gallengängchen nicht, weil die Präparation der Leberpforte nicht breit genug erfolgt. Daher können nur Gallengängchen erfasst werden, die eventuell in der Mitte der Leberpforte münden.

(Der Vorteil der Operation nach Kasai ist aber im Vergleich zur Extendit-Hepatoporto-Jejunostomie nach Schweizer, dass sie weniger riskant (not so risky) ist (wie Kasai bei einem Kongress in Berlin sagte, weil das Risiko der Veletzung der Pfortaderäste nicht vorhanden ist)).

Operations-Verfahren Paul Schweizer


(Abb. 7b über Hepatoporto-Enterostomie nach Paul Schweizer)

Extendit-Hepatoporto-Enterostomie: Das gelbgefärbte Bindegewebe fixiert die Wand von intraheatischen Gallengängchen fest auf der Wand des intraheptischen Anteils der Pfortader. Bei einer Extra-Hepatischen Gallengangsatresie enden intrahepatische Gallengängchen (sofern sie überhaupt vorhanden sind) im festen Bindegewebe beim Verlassen des Pfortaderastes in der bindegewebig veränderten Leberpforte. Anatomisch wir dieser Ort als Konfluenz der intrahepatischen Gallengänge bezeichnet. Dieser Konfluenz kann operativ aber nur gefasst werden, wenn die Präparationslinie in der Leberporte bis zu den Pfortaderästen an der linken und rechten Seite ausgedeht wird (siehe: rotgestrichelte Linie). Die Präparation zur Erkennung von Gallengängchen muss daher breit sein, um die Gallengängchen erfassen und mit einem Neogallengang, der aus einer ausgeschalteten Jejunumschlinge gebildet wird, zu anastomosieren. Mit einer derart breiten Päperation der Leberpforte können vorhandene Gallengängchen bei der mirkroskopischer Operationstechnik gefunden werden, (sofern sie vorhanden sind)
(Zusätzlich können auch die im Zentrum der Leberpforte eventuell mündenden Gallengänge freigelegt und mit derselben Anastomose drainiert werden).

Operations-Übersicht

Übersicht der Operations-Verfahren-Kasai(siehe Abb. 7a), Operations-Verfahren-Schweizer(siehe Abb. 7b)

1. Präperationslinie nach Schweizer
2. Präperationslinie nach Kasai
3. Leber
4. gelb: Bindegewebe
5. blau: Pfortaderast
6. grün: Gallengängchen

P

Pankreas

(griech.) =Bauchspeicheldrüse

Pfortader

=Vena portae. Hinter der Bauchspeicheldrüse laufen mehrere Venen Zusammen: Die rechte Magenvene =die Vena gastrica dextra, die linke Magenvene =die Vena gastrica sinistra, die Vene aus dem Pylorus, den Mesenterialvenen aus den Eingeweiden, die Milzvene. Sie bilden zusammen die Pfortader mit einem Venenstamm im Ligamentum hepato-duodenale(einem breiten bindegewebigen Band), das sich von der Leber (=Hepar) zum Duodenum (Zwölffingerdarm) ausspannt. Dieses Ligament =Band führt die Pfortader in die Leberpforte, wo sich der Pfortaderstamm in zwei Äste aufteilt, einen linken und rechten Ast. Die Pfortader bringt Blut und Moleküle aus dem Darm, der Milz, der Bauchspeicheldrüse und dem Magen ins zentrale Stoffwechselorgan Leber zur Verarbeitung. Die Pfortaderäste durchströmen die Leber und führt das Blut zur unteren Hohlvene , die es in den rechten Vorhof bringt. In den Leberläppchen wurde das Blut entgiftet, die mitgebrachten Moleküle werden katalytisch in andere Moleküle umgebaut, z.B. auch in Moleküle des Immunsystems, in Substanzen, die im Citratzyklus eine Stoffwechselrolle spielen.

Plazenta

(lat.), entwickelt sich aus dem Trophoblasten. An der entwickelten Plazenta setzt die Nabelschnur des Embryos/Fetus an, dient dem Stoffaustausch zwischen Mutter und Embryo/Fetus.

postoperativ

nach einem chirurgischen Eingriff

Proliferation

(lat.) = Sprossung, Gewebevermehrung, auch: Wachstum. (verb.) proliferieren

Q

Überschrif

Text…

R

Resektion

Die teilweise Entfernung von Organe/n und Gewebe/n durch eine Operation.
Grammatik: verb: resziert, resezierte, hat reseziert

Ruptur

(lat.) =Zerreißung

S

sedieren

= Dämpfung von Funktionen des zentralen Nervensystems durch ein Beruhigungsmittel.

Spleno-Renaler-Shunt

Das Wort Shunt beschreibt immer eine Umgehung; im Blick auf die Medizin, eine Umgehung im Kreislauf. Und der Spleno-Renale-Shunt beschreibt eine Umgehung des Kreislaufes von der Milzvene (Milz = Spleen) über die linke Nierenvene (Ren=Niere) zum Herzen. Dabei soll die Leber umgangen werden. Wenn z. B. eine Thrombose in der Pfortader der Leber auftritt, staut sich das Pfortaderblut in Venen des Ösophagus und führt über Blutungen in dort entstandenen Varizen zu lebensbedrohlichen Blutungen. Also will der Arzt das Blut der Pfortader gar nicht in die Speiseröhre stauen lassen, sondern verhindern, dass es in den Ösophagus stauen muss.
Da nun viel Pfortaderblut über die Milzvene und den Stamm der Pfortader zur Leber transportiert wird, will er diesen Zustrom verhindern, weil er weiß, dass das Blut in die Venen der Speiseröhre gestaut wird. Sinnvoll ist dann, dass er das Blut, das über die Milzvene transportiert wird, umleitet. Er kann es zur benachbarten linken Nierenvene umleiten, die es dann ins Herz drainiert. Diese Umleitung nennt man einen Spleno-Renalen-Shunt. Um einen solchen Shunt herstellen zu können muss man die Milzvene quer durchtrennen, zur Nierenvene schwenken und seitlich in die Nierenvene einleiten = anastomosieren. Die Erfolge sind sehr gut.

T

TIPSS

TIPSS ist die Abkürzung von Trans-jugulärer-intrahepatischer-porto-systemischer-Stent-Shunt. Es ist (war?) ein Shunt System, das keine Baucheröffnung benötigt. Im Prinzip führt man einen Katheter durch die Vena jugularis interna an der rechten Halsseite bis in die Leber vor. In der Leber sucht man von außen sonographisch nach einem großen Ast der Pfortader, der in der Nähe der Vena jugularis liegt. Vom Ende des in die Vena jugularis interna eingeführten Katheter kann nun unter sonografischer Kontrolle der anvisierte Pfortaderast punktiert werden. Durch den Katheter in der Vena jugularis kann dann der Kanal zwischen dem Ende des Katheters in der Vena jugularis und der Pfortader gedehnt werden, damit er mit einem Shuntstück ausgekleidet werden kann (siehe Abb.). Nach der Entfernung des Venenkatheters besteht ein Shunt zwischen der Vena jugularis und dem Pfortaderast, der verhindert, dass Blut aus der Pfortader in die Ösophagus-Venen gestaut werden muss.
(Wir haben zwar in Tübingen den ersten TIPSS in der Bundesrepublik durchgeführt, würden ihn aber gegenüber dem Spleno-Renalen-Shunt nicht favorisieren, weil das Verfahren unübersichtlich und zeitaufwendig, daher auch riskant ist).

(Zum Verständnis dieser Prozedur leistet die (Abb. 9) einen großen (Beitrag!)).


(Abb. 9)

(Einsatz von bildgebenden Verfahren: Ultraschall)

Trophoblast

= die Außenwand der Blastocyste (siehe dort), dient der Kontaktaufnahme der befruchteten Eizelle mit der Uterusschleimhaut. Die Entstehung des Tropho-Blasten kennzeichnet den Beginn der Plazentabildung. (Placenta: siehe dort).

U

Urin

(lat.), = Harn. Urin wird (wie jedes Kind weiß) von den Nieren produziert. Die Menge pro 24 Stunden ist unterschiedlich, sollte jedoch beim Erwachsenen rund 900 ml/24 Stunden betragen. Während langer Operationszeiten, die 3-4 Stunden überschreiten, ist es ratsam, die Menge über einen präoperativ gelegten Blasenkatheter zu kontrollieren. Von einer „trockenen Blase“ sprechen Anästhesisten und Chirurgen, wenn kein oder nur wenig Urin ausgeschieden wird. Die „trockene Blase“ ist das Zeichen, dass der Körper zu wenig Flüssigkeit hat und Flüssigkeit zugeführt werden muss. Bei dieser Entscheidung muss jedoch gewährleistet sein, dass kein Hindernis im Katheter die „trockene Blase“ verursacht.

V

Virus-Hepatitis

Häufige Erreger sind Hepatitis A und Hepatitis B. Problematisch ist jedoch der Erreger der Hepatitis C. Die Inkubationszeiten sind unterschiedlich lang und betragen nach der Literatur 15-50 Tage, können jedoch auch viel länger, bis zu 40-180 Tage betragen. Prodromale Zeichen sind oft gastrointestinale, grippeähnliche, oder rheumatische Beschwerden. Ein aufmerksamer Arzt kann manchmal auch eine Vergrößerung der Leber tasten. Nach einer unterschiedlich langen Zeit tritt dann ein Ikterus = eine Gelbsucht auf, die meistens mit ungewöhnlich starker Müdigkeit einhergeht. Die Diagnose wird durch immunologische Untersuchungen im Blut, Urin, Stuhl und durch Abstriche gestellt. Hepatitis-Erkrankungen müssen klinisch behandelt werden.
W

Wachstumsfugen

sind knorpelige Bereiche in Röhrenknochen. Sie sind die Bereiche, aus denen Knochen wachsen, bis sie die genetisch vorbestimmte Länge erreichen. Wachstumsfugen sind der Hinweis, dass zwischen der Versorgung der Knochenbrüche im Erwachsenenalter und im Kindesalter gravierende therapeutische Unterschiede bestehen. Die Knochenbruch Behandlung im Kindesalter verlangt absolute Rücksichtnahme auf die Wachstumsfugen. In der Knochenbruchbehandlung von Erwachsenen besteht diese Rücksichtnahme nicht, denn die Wachstumsfugen sind in diesem Alter schon knöchern verschlossen. Kinder haben im Vergleich dazu noch vitale Wachstumsfugen, die noch Wachstum erzeugen können. Sie müssen in der Knochenbruchbehandlung absolut geschont werden. Deshalb ist die Positionierung von Schrauben, Plättchen und Metallstiften oft sehr schwierig, muss aber stattfinden können.

Wernicke-Aphasie

Wernicke-Aphasie ist die Folge einer Sprachstörung durch eine Läsion der Wernicke-Region. Die Symptomatik wird von einem sinnlosen Sprachverständnis geprägt, weil der Inhalt eines Wortes = der Sprache nicht mehr erkannt werden kann. Dem Patienten fehlt die Fähigkeit den Inhalt eines gesprochenen Wortes zu verstehen. (Siehe auch Broca-Aphasie).

X

Überschrift

Text…

Y

Überschrift

Text…

Z

Zungenbein

= Os hyoideum. An ihm setzen mehrere Zungen-Muskeln an: Der Mm. sterno-, omo-,thyro-, tylo-, geniohyoideum und digastricus. Bei Halsverletzungen kann auch das Zungenbein beschädigt werden.

Zona compakta

= eine Zellschicht der Dezidua (siehe dort) welche die Trophoblasten-Invasion in die mütterliche Uterusschleimhaut stoppt (siehe Abb.).

Zona pellucida

= eine Zellschicht der Eizelle nach der Ovulation (siehe Abb.).

A B C D E F G H I J K L M N O P Q R S T U V W X Y Z


Lexikon Home Kontakt